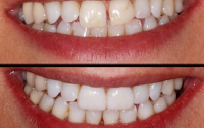
Hoy os traemos un caso realizado por nuestra ortodoncista Blanca Jiménez y nuestro experto en estética dental, Marco Jiménez. El paciente acude a la...
NOTICIAS
Aquí encontrarás todas las novedades sobre los mejores tratamientos para cuidar tu sonrisa. Desde consejos para una correcta higiene bucal hasta información detallada sobre implantes y otros tratamientos dentales innovadores, nuestro objetivo es mantenerte informado y brindarte la mejor atención para tu salud dental. Explora nuestras últimas actualizaciones y descubre cómo podemos ayudarte a lucir una sonrisa radiante y saludable. ¡Tu bienestar dental es nuestra prioridad!
Preguntas frecuentes sobre los implantes dentales
¿Te has hecho alguna vez preguntas sobre los implantes dentales? Nuestro especialista en implantes dentales, Fernando Jiménez Meltzer, responde a...
¿El tiempo de duración de la ortodoncia depende del tipo de ortodoncia?
Efectivamente, en ocasiones, el tiempo de la ortodoncia depende del tipo de ortodoncia. En general, en movimientos muy complejos la ortodoncia...
Celebramos el 5º Aniversario de Dental 2DOCE
Este lunes, 12 de septiembre, hemos celebrado nuestro 5º Aniversario. Cinco años desde que abrimos la Clínica Dental 2Doce del Paseo de la...
Nueva clínica Dental 2DOCE
Gracias a la confianza que nuestros pacientes han depositado en nosotros, Dental 2Doce ha abierto una nueva clínica en el Paseo de la Castellana...
Clínica dental abierta en agosto en Madrid
¿Estás buscando un dentista que abra en agosto en Madrid? En Dental 2doce no nos vamos de vacaciones, ¡abrimos en el mes de agosto! El horario...
La ortodoncia contribuye a la salud de las encías
Cómo cuidar las sonrisas de los peques del Colegio Altair
Nuestra higienista dental Marta Serra acudió un año más al Colegio Altair para realizar un taller de prevención dental en los niños. Con...
El sangrado de encías: un signo de alarma
Nuestra higienista dental, Marta Serra, nos habla sobre el sangrado de las encías, algo que no debe considerarse como "normal" en nuestra boca, sino...
Ganadores/as del concurso de dibujos
¡Ya tenemos a los 6 peques ganadores/as del concurso de dibujos que organizamos durante el último taller de prevención dental en niños! Durante la...
Espacio entre dientes: carillas de composite
En el post de hoy os mostramos un caso realizado por nuestro experto en odontología estética, Marco Jímenez Meltzer. La paciente acude a nuestra...
La forma más barata de cuidar tu salud bucal
En el Día Mundial de la Salud, 7 de Abril, nuestros especialistas acercan 5 consejos para cuidar tu salud bucodental de la forma más barata: 1) No...














