La prevención es uno de los pilares de la salud bucodental. Cada vez más, los pacientes muestran mayor concienciación en cuanto a higiene y hábitos...
NOTICIAS
Aquí encontrarás todas las novedades sobre los mejores tratamientos para cuidar tu sonrisa. Desde consejos para una correcta higiene bucal hasta información detallada sobre implantes y otros tratamientos dentales innovadores, nuestro objetivo es mantenerte informado y brindarte la mejor atención para tu salud dental. Explora nuestras últimas actualizaciones y descubre cómo podemos ayudarte a lucir una sonrisa radiante y saludable. ¡Tu bienestar dental es nuestra prioridad!
SE ME HA BAJADO LA ENCÍA, ¿POR QUÉ? ¿QUÉ PUEDO HACER?
Muchos pacientes nos hacen estas preguntas y es importante saber que cuando hablan de bajar la encía en un diente, en realidad tiene un nombre...
Muelas del Juicio III ¿Debo quitarme las muelas del juicio para realizar un tratamiento de ortodoncia?
En ocasiones asociamos una mala estética dental a cuando nos salieron (erupcionaron) las muelas del juicio en la juventud. Una de las dudas que...
Muelas del Juicio II ¿Por qué se produce dolor?
A raíz del post publicado en torno a las muelas del juicio os han surgido diversas preguntas que creemos resulta muy interesante responderlas. Una...
Muelas del juicio I ¿Me las quito o no?
Las muelas llamadas “del juicio” o terceros molares suelen situarse en una zona que causa conflictos por varios motivos, como la falta de espacio...
¡Se me han roto los retenedores dentales! ¿Y ahora qué?
Lo más habitual, cuando se termina un tratamiento de ortodoncia, es que el ortodoncista nos coloque unos retenedores dentales. Estos aparatos nos...
Limpiador de lengua: un imprescindible en la limpieza de tu boca
Limpiador lingual: ¡100% recomendable para tu higiene diaria! El limpiador lingual, también llamado raspador de lengua o cepillo de lengua, es un...
¿Sabes lo que son los “tapones” de los implantes?
Fernando Jiménez Meltzer, nuestro especialista en cirugía oral e implantes, explica qué son los llamados “tapones” cuando nos referimos a implantes...
Ortodoncia y carillas ¡Combinamos las dos!
¡Por fin, después de un par de meses, volvemos a la carga con más información interesante acerca de pacientes de Dental 2DOCE! Hoy, queremos...
Piercing en el labio: ¿problemas en las encías?
“Tengo un piercing en el labio superior desde hace 3 años y veo que poco a poco me está desapareciendo la encía”. La realidad es que el contacto...
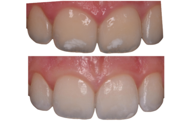
Manchas blancas en los dientes
Hoy os presentamos un caso realizado en Dental 2DOCE por nuestro prostodoncista y experto en odontología estética, Marco Jiménez Meltzer. Se trata...
Menopausia y Síndrome de la boca seca
En muchas ocasiones tendemos a mitificar términos y a colocarlos en el cajón de los temas tabú. Sin embargo, no hay nada como aplicar la naturalidad...














